This project is a retinal blood vessel segmentation code based on python and pytorch framework, including data preprocessing, model training and testing, visualization, etc. This project is suitable for researchers who study retinal vessel segmentation.
The main package and version of the python environment are as follows
# Name Version
python 3.7.9
pytorch 1.7.0
torchvision 0.8.0
cudatoolkit 10.2.89
cudnn 7.6.5
matplotlib 3.3.2
numpy 1.19.2
opencv 3.4.2
pandas 1.1.3
pillow 8.0.1
scikit-learn 0.23.2
scipy 1.5.2
tensorboardX 2.1
tqdm 4.54.1
The above environment is successful when running the code of the project. In addition, it is well known that pytorch has very good compatibility (version>=1.0). Thus, I suggest you try to use the existing pytorch environment firstly.
Runninggit clone https://github.com/lee-zq/VesselSeg-Pytorch.git
The project structure and intention are as follows :
VesselSeg-Pytorch # Source code
├── config.py # Configuration information
├── lib # Function library
│ ├── common.py
│ ├── dataset.py # Dataset class to load training data
│ ├── extract_patches.py # Extract training and test samples
│ ├── help_functions.py #
│ ├── __init__.py
│ ├── logger.py # To create log
│ ├── losses
│ ├── metrics.py # Evaluation metrics
│ ├── pre_processing.py # Data preprocessing
├── models # All models are created in this folder
│ ├── denseunet.py
│ ├── __init__.py
│ ├── LadderNet.py
│ ├── nn
│ └── UNetFamily.py
├── prepare_dataset # Prepare the dataset (organize the image path of the dataset)
│ ├── chasedb1.py
│ ├── data_path_list # image path of dataset
│ ├── drive.py
│ └── stare.py
├── test.py # Test file
├── tools # some tools
│ ├── ablation_plot.py
│ ├── ablation_plot_with_detail.py
│ ├── merge_k-flod_plot.py
│ └── visualization
└── train.py # Train file
- Please download the retina image datasets(DRIVE, STARE and CHASE_DB1) from TianYi Cloud. Otherwise, you can download three data sets from the official address: DRIVE,STARE and CHASE_DB1.
- Unzip the downloaded
datasets.rarfile. The results are as follows:
datasets
├── CHASEDB1
│ ├── 1st_label
│ ├── 2nd_label
│ ├── images
│ └── mask
├── DRIVE
│ ├── test
│ └── training
└── STARE
├── 1st_labels_ah
├── images
├── mask
└── snd_label_vk
- Create data path index file(.txt). running:
Please modify the data folder path:
data_root_path(in thedrive.py,stare.pyandchasedb1.py) to the absolute path of the datasets downloaded above
python ./prepare_dataset/drive.py
In the same way, the data path files of the three datasets can be obtained, and the results are saved in the ./prepare_dataset/data_path_list folder
Please confirm the configuration information in the config.py. Pay special attention to the train_data_path_list and test_data_path_list. Then, running:
CUDA_VISIBLE_DEVICES=1 python train.py --save UNet_vessel_seg --batch_size 64
You can configure the training information in config, or modify the configuration parameters using the command line. The training results will be saved to the corresponding directory(save name) in the experiments folder.
The test process also needs to specify parameters in config.py. You can also modify the parameters through the command line, running:
CUDA_VISIBLE_DEVICES=1 python test.py --save UNet_vessel_seg
The above command loads the best_model.pth in ./experiments/UNet_vessel_seg and performs a performance test on the testset, and its test results are saved in the same folder.
- Training sample visualization
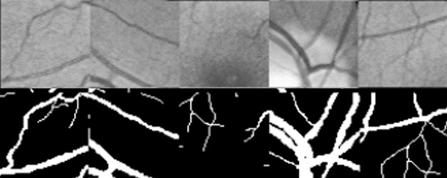
- Segmentation results
The original image, predicted probability image, predicted binary image and groundtruth
DRIVE:
STARE:
CHASE_DB1:
- Add other retinal vessel segmentation models and performances.
- Add SOTA loss function.




